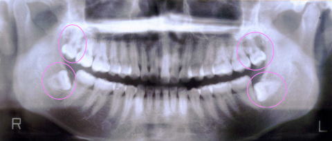
親知らずは20歳前後に生えてきます。現在60歳の私は上の親知らずは虫歯になったので25歳の頃に抜歯してもらいました。下の親知らずは2本とも横に向いて半分生えている状態ですが、抜くのが怖いので、頑張って虫歯にならないように1日5回以上全体の歯を磨いています。私は口腔外科出身なので口腔外科の7年間とその後5年間ぐらいの期間に1,000本以上は抜いてきましたが、現在は済生会千里病院(南千里)に紹介状を書いて抜いてきてもらう事にしています。年間30人ほどは紹介させて頂いています。ご希望があれば紹介状をお書きします。
下は神経に触ると「唇のしびれ」や「唇の周辺の知覚麻痺」が起こるので、やはり現役の口腔外科の先生の方が安心だと私は思います。私も口腔外科で多くの患者さんを診させてもらい、安全の教育を最優先に受けたこともあり、患者さんの安全を優先し当院では無理はしないことにしています。



